Everything You Need to Know About CSR (Central Serous Retinopathy)
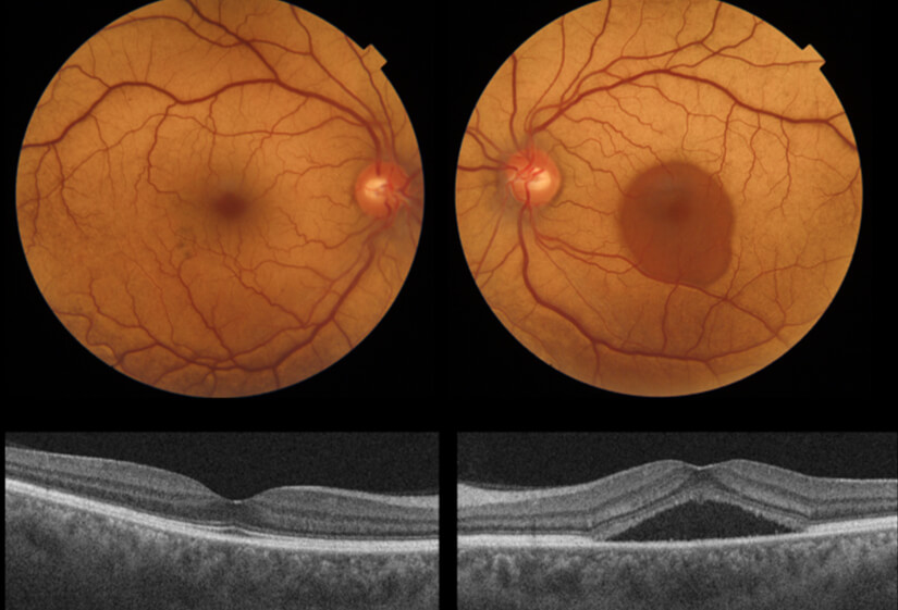
If you’ve ever noticed a blurry spot in your central vision or found that straight lines suddenly look distorted, you might be experiencing a condition called Central Serous Retinopathy (CSR). It’s not as widely known as cataracts or glaucoma, yet it’s one of the leading causes of temporary central vision...